Гастрит
Гастрит – воспаление слизистой оболочки желудка. Является полиэтиологической патологией – вызывается различными причинами или их сочетанием. Заболевание бывает острым или хроническим, каждая из этих форм имеет свои особенности. Гастриту сопутствуют нарушения функции желудка и других органов желудочно-кишечного тракта (ЖКТ).
Острый гастрит – одна из самых частых патологий пищеварительной системы. Ее развитию подвержены люди любого возраста и пола.
Уровень заболеваемости хроническим гастритом в разных странах колеблется от 2-11 % до 24-25 % среди различных возрастных групп. Некоторые авторы исследований придерживаются мнения, что хроническим гастритом страдает около половины населения индустриально развитых стран. Среди всех заболеваний желудка хронический гастрит занимает долю в 80-90 %, нередко сопутствует другим патологиям – язве, раку желудка.
Острые и хронические гастриты не только значительно снижают качество жизни, но и оказывают негативное влияние на работу других органов и систем, могут сопровождаться осложнениями, в том числе, опасными для жизни.
Основные услуги
Код заболевания по МКБ-10
В Международной классификации болезней 10-го пересмотра гастрит у взрослых обозначен общим кодом K29. Разным видам гастрита присвоены соответствующие коды:
- K29.0 – острый геморрагический гастрит;
- K29.2 – алкогольный гастрит;
- K29.3 – хронический поверхностный гастрит;
- K29.4 – хронический атрофический гастрит;
- K29.5 – хронический неуточненный гастрит;
- K29.6 – другие гастриты;
- K29.7 – гастрит неуточненный.
Причины и факторы риска гастрита
Острое воспаление слизистой оболочки желудка возникает в результате разового или кратковременного агрессивного воздействия раздражающих факторов.
Причиной хронического гастрита как правило является инфицирование Helicobacter pylori – единственным микроорганизмом, который способен жить в агрессивной среде, образованной желудочным соком. Helicobacter pylori вырабатывает токсины и ферменты, снижающие защитные свойства слизистой оболочки желудка. Дополнительное действие различных раздражающих факторов – внешних или внутренних – повышает риск развития заболевания.
Факторы риска, способствующие возникновению гастрита:
- нарушение режима питания, жесткие диеты;
- избыток в меню острой, жирной, соленой, жареной пищи, копченостей, консервов, газированных напитков;
- частое употребление горячих напитков на голодный желудок;
- курение, употребление алкоголя;
- длительный бесконтрольный прием некоторых лекарств (нестероидные противовоспалительные средства, ацетилсалициловая кислота, антибиотики);
- частые стрессы, эмоциональное перенапряжение;
- профессиональные вредности (химические вещества, радиация и др.);
- воздействие аллергенов, аутоиммунных причин;
- травмы, другие заболевания ЖКТ.
Человек длительное время может быть носителем Helicobacter pylori, но не чувствовать при этом никаких признаков болезни. Однако носительство не проходит бесследно – развиваются нарушения функций желудка, хронический гастрит, среди всех причин развития которого на долю инфицирования этим микроорганизмом относят около 70 %. В 15-18 % случаев хронический гастрит является аутоиммунным заболеванием, около 10 % – возникают из-за употребления нестероидных противовоспалительных средств, менее 5 % – рефлюкс-гастриты, 1 % – приходится на долю редких форм заболевания (б-нь Крона и др.).
Симптомы гастрита у взрослых
И для острого, и для хронического гастрита характерны симптомы со стороны желудочно-кишечного тракта – боли, нарушение функций пищеварительной системы. Однако локализация, острота проявления, выраженность симптомов различаются в зависимости от формы заболевания.

Изображение от gpointstudio на Freepik
Острый гастрит
Течение острого гастрита определяется его формой, степенью поражения слизистой оболочки. Симптомы варьируют от легких – отсутствие аппетита, изжога, тошнота, однократная рвота, незначительные боли, тяжесть в эпигастрии, до тяжелых – отвращение к пище, многократная рвота, интенсивные боли, нарушение пищеварительных процессов и общего состояния, обезвоживание. Заболевание развивается остро, через короткий период после воздействия провоцирующего фактора.
Хронический гастрит
Для хронического гастрита характерно воспаление слизистой оболочки желудка, сопровождающееся ее атрофией, замедлением регенерации, а также нарушениями различных функций органа – моторной (эвакуация пищи в кишечник), секреторной (выработка желудочного сока, муцина), инкреторной (выработка гастроинтестинальных гормонов), гемопоэтической (выработка антианемического фактора), барьерно-защитной и др. Вследствие этого при хроническом гастрите поражаются и другие органы, заболевание носит общий характер.
Симптоматика хронического гастрита:
- диспепсические симптомы – изжога, неприятный привкус во рту, отрыжка пищей или воздухом, тошнота;
- давление, тяжесть в подложечной области, чаще возникающие после еды;
- вздутие живота;
- боли и жжение во рту, на языке, жжение в эпигастрии;
- язвенноподобные симптомы – ноющие боли разной интенсивности, возникающие натощак или через 1,5-2 часа после еды, ночные или вечерние боли, стихающие после приема пищи;
- общие симптомы – слабость, утомляемость, сонливость, раздражительность, отсутствие интереса к жизни;
- расстройства кишечника, позывы к дефекации, возникающие несколько раз за день;
- нарушения со стороны сердечно-сосудистой системы – аритмии, боли в области сердца, нестабильность артериального давления.
Описанные признаки хронического гастрита далеко не всегда присутствуют в комплексе. Они различаются в зависимости от причины заболевания, течения, локализации воспалительного процесса.
Классификация гастрита
Виды гастрита по течению заболевания:
- хронический;
- острый.
В зависимости от провоцирующего фактора:
- бактериальный, в том числе, ассоциированный с Helicobacter pylori;
- эндогенный (идиопатический) – развивается из-за выделения в организм токсинов, продуктов распада бактерий и вирусов, вызывающих другие заболевания (грипп, дифтерия, пневмония, вирусный гепатит);
- аутоиммунный – возникает вследствие выработки организмом антител к клеткам желудка, отвечающим за синтез соляной кислоты;
- рефлюкс-гастрит – развивается на фоне заброса желчи из 12-перстной кишки в желудок;
- экзогенный (реактивный) – пищевой, лекарственный, химический и др.

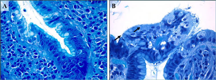
Гистологические признаки хеликобактерного гастрита (окраска по Гимзе). Источник: ncbi.nlm.nih.gov
Формы гастрита в зависимости от площади поражения:
- локальный (очаговый) – выделяют фундальный, антральный, пилороантральный, пилородуоденальный гастрит, в зависимости от того, в каком отделе желудка он располагается;
- распространенный (диффузный).

Гистологические признаки аутоиммунного гастрита. Источник: ncbi.nlm.nih.gov
Патологоанатомическая классификация:
- катаральный гастрит – утолщение, отечность, полнокровность слизистой оболочки желудка, которая покрыта большим количеством вязкой слизи, с мелкоточечными кровоизлияниями и эрозиями на поверхности;
- эрозивный – иногда рассматривают как подвид катарального, эрозии – многочисленные, сливающиеся;
- фибринозный – некротические изменения слизистой оболочки с пропитыванием зоны некроза фибринозно-гнойным экссудатом и формированием на ее поверхности пленки, при снятии которой могут обнаруживаться язвенные дефекты;
- некротический – часто развивается вследствие воздействия химических веществ, затрагивает не только слизистую оболочку, но и глубже расположенные слои стенки, образуя многочисленные эрозии, острые, часто перфоративные язвы;
- гнойный (флегмонозный) – нарушается целостность слизистой оболочки желудка, гнойное воспаление распространяется на все слои его стенки.
Классификация по характеру эндоскопических изменений:
- поверхностный гастрит;
- геморрагический – кровоизлияния на поверхности слизистой оболочки;
- гиперпластический – характеризуется разрастанием слизистой оболочки;
- атрофический – при этом виде гастрита слизистая оболочка атрофирована;
- эрозивный – на поверхности слизистой желудка образуются плоские или приподнятые дефекты (эрозии).

Гистологическая классификация:
- легкая, умеренная тяжелая степень воспаления;
- атрофия слизистой оболочки;
- метапластические изменения с признаками кишечного эпителия.
Классификация по типу кислотности среды:
- гиперацидный – гастрит с повышенной кислотностью желудочного сока;
- гипоацидный – кислотность желудочного сока снижена.
Диагностика гастрита
Помимо сбора анамнеза жизни и заболевания, внешнего осмотра больного (кожа, слизистые оболочки), пальпации, аускультации области эпигастрия, применяются лабораторные и инструментальные методы диагностики, функциональные пробы. В их числе:
- общий анализ крови и мочи;
- биохимия крови;
- копрограмма (анализ кала);
- дыхательный тест на Helicobacter pylori;
- УЗИ брюшной полости;
- ФГДС, при необходимости – с биопсией (забором материала для гистологического исследования);
- рентгенологическое исследование органов брюшной полости;
- зондирование желудка, анализ желудочного сока;
- внутрижелудочная Ph-метрия.
При сопутствующих заболеваниях, симптомах, напоминающих другие патологии, подозрении на развитие осложнений назначаются дополнительные методы диагностики и консультации врачей различных специальностей.

Методы лечения гастрита
Основные задачи лечения воспаления слизистой оболочки желудка – устранить причину заболевания, воспалительные изменения, нормализовать кислотность. Для этого применяются медикаментозные методы, также необходимо соблюдать диету, нормализовать режим дня, минимизировать стрессовые ситуации.
Основой лечения хронического гастрита является соблюдение диеты и здоровый образ жизни. Пациентам рекомендуется исключить из меню острую, копченую, жирную, соленую пищу, консервы, полуфабрикаты, не злоупотреблять кофе и курением. Питаться следует небольшими порциями, несколько раз в день.
Медикаментозная терапия
Для лечения хронического гастрита применяются следующие группы лекарственных средств:
- Снижающие кислотность (при гиперацидной форме). Обычно назначаются ингибиторы протонной помпы, антагонисты гистаминовых рецепторов или антациды.
- Повышающие кислотность (при гипоацидной форме) – натуральный желудочный сок.
- Противовоспалительные препараты. Используются с учетом необходимости и возможности их назначения.
- Антибактериальные средства – при наличии инфекции Helicobacter pylori проводится эрадикационная терапия антибиотиками.
- Препараты, усиливающие защиту слизистой оболочки желудка.
- Заместительная терапия. При наличии недостаточности железа, витаминов, анемии или других заболеваний, которые привели к появлению гастрита или возникли как его следствие, применяются средства, купирующие соответствующую симптоматику, нормализующие различные функции организма.
Осложнения гастрита
Осложнения острого или хронического гастрита развиваются при отсутствии лечения или неправильной терапии. К ним относятся:
- язвенная болезнь желудка и 12-перстной кишки;
- желудочное кровотечение;
- перитонит;
- железодефицитная анемия, B12-дефицитная анемия;
- метаплазия, дисплазия клеток слизистой оболочки желудка;
- риск развития злокачественных опухолей, особенно при атрофическом гастрите.
Профилактика гастрита
Предотвратить развитие заболевания и сохранить здоровье ЖКТ помогут простые меры:
- правильное, регулярное питание;
- отказ от алкоголя и курения;
- минимизация стрессов;
- оправданное употребление лекарств под контролем врача;
- соблюдение личной гигиены, правильный уход за зубами, полостью рта;
- умеренные физические нагрузки;
- исключение или снижение влияния профессиональных вредностей;
- своевременное выявление и лечение различных заболеваний.
Необходимо обратиться к врачу при первых признаках заболевания и проводить лечение под его контролем, строго следуя всем назначениям. Это поможет не допустить перехода процесса в хроническую форму, избежать осложнений гастрита.
Информация предоставлена в справочных целях и не заменяет консультации квалифицированного специалиста.
Не занимайтесь самолечением! При первых признаках заболевания необходимо обратиться к врачу.
Источники:
- Аруин Л.И. Морфологическая диагностика болезней желудка и кишечника. - М.: Триада-Х, 1998. - 496 с.
- Вялов С.С. Хронический гастрит: клинические варианты и лечение / С.С. Вялов // Consilium Medicum. - 2017. - № 19 (8). - С. 103-109.
- Минушкин О.Н. Хронический гастрит: современное состояние проблемы / О.Н. Минушкин [и др.] // Терапевтический архив. - 2020. - № 92 (8). - С. 18-23.
- Петров В.Н. Хронический гастрит / В.Н. Петров, В.А. Лапотников // Медицинская сестра. - 2010. - № 4.
- Ряпова Э.И. Острой и хронический гастрит: этиология, патогенез, диагностика, лечение / Э.И. Ряпова // Международный журнал гуманитарных и естественных наук. - 2020. - № 11-1 (50). - С. 74-76.
- Скворцов В.В. Современные подходы в фармакотерапии хронического гастрита / В.В. Скворцов [и др.] // Медицинский совет. - 2021. - № 15. - С. 40-47.
- Табынбаев Н.Б. Клиническая картина гастритов, ассоциированных с Helicobacter pylori / Н.Б. Табынбаев [и др.] // Гепатология и гастроэнтерология. - 2017. - № 1. - С. 85-88.
Наши гастроэнтерологи
Другие заболевания
Клиники
Многопрофильный медицинский центр
Детское отделение
Отделение превентивной медицины и долголетия
Травмпункт 8:00-22:00
8 (812) 777-77-03
ok1@emsclinic.ru
Клиника работает с 8:00 до 22:00 ежедневно
Многопрофильный медицинский центр
Детское отделение
Стоматология
Аптечный пункт
Травмпункт 24/7
8 (812) 777-77-03
ok1@emsclinic.ru
Клиника работает с 8:00 до 22:00 ежедневно
Травмпункт, рентген работают круглосуточно
Посещение осуществляется по предварительной записи
Колл-центр клиник EMS работает круглосуточно. Электронные обращения, оставленные после 22:00, обрабатываются после 9:00 следующего дня. Если Вам необходимо получить медицинские услуги в ближайшие часы, рекомендуем позвонить по телефону: +7 (812) 777-77-03
Личный кабинет
Онлайн-оплата